جراحات الحلق
جراحات الحلق: متى نلجأ إليها؟ وماذا تشمل؟

الحلق هو ممر حيوي يربط بين الأنف والفم من جهة، والمريء والحنجرة من جهة أخرى، ويؤدي دورًا مزدوجًا في عمليتَي التنفس والبلع. ويضم عدة أجزاء أساسية مثل اللوزتين، اللحمية، والبلعوم، التي قد تتعرض لمشكلات متكررة خاصة في سن الطفولة.
ورغم أن العديد من اضطرابات الحلق يمكن التعامل معها دوائيًا، فإن بعض الحالات المزمنة أو المعقدة تستدعي التدخل الجراحي، لا سيما عندما تؤثر على التنفس والنوم، أو النمو الطبيعي عند الأطفال. وتُعد جراحات الحلق من أكثر الإجراءات شيوعًا، إذ تُجرى لعلاج التهابات اللوزتين واللحمية، اضطرابات البلع، الشخير، أو انسداد مجرى التنفس العلوي.
أنواع جراحات الحلق الشائعة
تُجرى جراحات الحلق لعلاج مشكلات مثل التهابات اللوزتين المتكررة، تضخم اللحمية، الشخير، أو صعوبات البلع والتنفس. تختلف نوع الجراحة حسب الحالة والعمر، وتهدف جميعها لتحسين التنفس، تقليل الالتهابات، واستعادة الوظائف الطبيعية للفم والحلق.
1
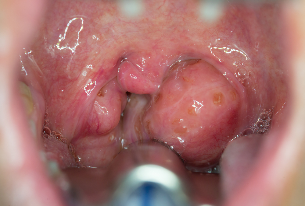
تُجرى لعلاج التهابات اللوزتين المتكررة أو تضخمهما المفرط، وهي من أكثر العمليات شيوعًا عند الأطفال.
2
استئصال اللحمية (Adenoidectomy)
3
جراحات الحلق لعلاج الشخير وانقطاع التنفس
4
خراجات اللوزتين أو الحلق (Peritonsillar Abscess drainage)
متى نلجأ إلى جراحة الحلق؟
التهابات متكررة في اللوزتين (أكثر من 4 – 5 مرات سنويًا).
تضخم اللوزتين أو اللحمية يُسبب صعوبة في التنفس أو الشخير.
انقطاع التنفس أثناء النوم بسبب انسداد مجرى الحلق.
صعوبة في البلع أو الكلام ناتجة عن تضخم الأنسجة.
خراجات أو تورمات حول اللوزتين.
حالات مزمنة من الشخير المؤثر على نوم الطفل أو الكبار.
دليل الرعاية قبل وبعد التدخل الجراحي
ما قبل الجراحة
- يتم تقييم الحالة من خلال الفحص السريري، الأشعة، وتحاليل الدم.
- يجب الصيام قبل الجراحة بساعات محددة حسب تعليمات الطبيب.
- التوقف عن الأدوية المميعة للدم أو أدوية الحساسية عند الحاجة.
- تحضير الطفل نفسيًا في حال كان هو من سيُجري العملية، لطمأنته.
ما بعد الجراحة
- يشعر المريض بألم خفيف إلى متوسط في الحلق لعدة أيام، خاصة أثناء البلع.
- يُوصى بتناول السوائل الباردة والأطعمة الطرية، وتجنّب المشروبات الحمضية.
- يحتاج الطفل عادة إلى راحة منزلية لمدة 7 - 10 أيام.
- يُمكن حدوث ارتفاع بسيط في الحرارة أو وجود إفرازات بيضاء مكان الجراحة (طبيعية في الغالب).

هل يعاني طفلك من التهابات متكررة في الحلق؟ أو شخير مزعج يؤثر على نومه ونشاطه؟
لا تنتظر… استشر أ.د هشام أنور، استشاري الأنف والأذن والحنجرة، لتقييم الحالة وتحديد أنسب الحلول.
الأسئلة الشائعة حول جراحة الحلق
هل جراحة اللوز أو اللحمية مؤلمة؟
تتم العملية تحت تخدير كلي، ولا يشعر المريض بالألم أثناء الجراحة، في جراحة اللوز ويتم الاستئصال بطريقة الجيب مع الدكتور هشام أنور عطية.
هل تؤثر إزالة اللوزتين على المناعة؟
لا، اللوزتان تفقدان معظم وظائفهما بعد سن الطفولة، وإزالتها لا تضعف المناعة بشكل عام، بل قد تقلل من العدوى المتكررة.
ما هي المدة اللازمة للتعافي؟
غالبًا ما يحتاج الطفل إلى أسبوع للراحة، بينما قد يستغرق البالغ وقتًا أطول قليلًا. يعود المريض للحياة الطبيعية تدريجيًا.
هل يمكن أن تعود اللحمية بعد استئصالها؟
في حالات نادرة، يمكن أن تنمو جزئيًا مرة أخرى خاصة عند الأطفال الصغار، لكن الأعراض تكون أقل حدة.
هل كل من يعاني من التهابات في الحلق يحتاج إلى جراحة؟
ليس بالضرورة، الجراحة تُقرر فقط إذا تكررت الأعراض أو أثرت على التنفس والنوم.
تحدث معنا!
نحن هنا للاستماع إلى شكواك وتقديم التقييم المناسب لحالتك، ومساعدتك في الوصول إلى أفضل خطة علاجية بأمان واهتمام.